Αναστάσιος Δράκος | Αόρατη Ορθοδοντική Invisalign
Αρχική
Δρ. Δράκος
Ιατρός
Ιατρεία
Έντυπα
Αόρατη Ορθοδοντική
Invisalign
Γιατί Invisalign;
Αόρατη Ορθοδοντική Θεραπεία
Περιστατικά
Συχνές Ερωτήσεις
Επικοινωνία
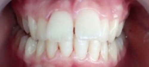
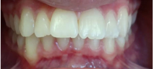
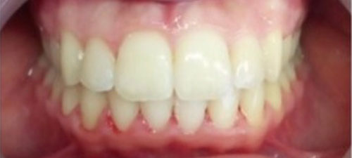
Περιστατικά
Πριν την θεραπεία
Μετά την θεραπεία